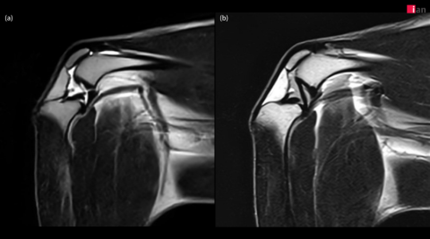
이안동물의학센터가 국내 동물병원 중 최초로 도입한 AI 기반 MRI 소프트웨어를 통해 무릎(Stifle joint) MRI 촬영 화질을 획기적으로 향상시키며 반려동물 정형외과 진단의 새로운 기준을 제시하고 있다고 밝혔다. 특히 이안동물의학센터는 이 소프트웨어로 복잡한 무릎 관절 내 구조물에 대한 세밀한 관찰이 가능해지면서 정확한 진단과 치료 전략 수립에 있어 큰 진전을 이루고 있다.

2023년 말부터 본격 가동된 이안동물의학센터의 AI 기반 MRI 소프트웨어는 딥러닝 알고리즘을 활용해 노이즈를 효과적으로 제거하고, 이미지 선명도를 대폭 향상시켰다. 특히 무릎 관절처럼 작은 구조물들이 복잡하게 얽혀 있는 부위에서 기존 영상 기법으로는 명확하게 파악하기 어려웠던 인대, 연골, 활액낭 및 인접한 근육 등의 세부 구조물까지 뚜렷하게 확인할 수 있어 정밀 진단에 큰 도움이 되고 있다.
2023년 국내 최초 도입한 AI 영상 재구성 기술 덕분에 이안동물의학센터는 MRI 촬영 시간이 기존 대비 최대 절반으로 단축됐으며, 마취 시간도 줄어들어 환자 안전성 또한 함께 향상됐다. 특히 이안동물의학센터는 전담 마취팀이 검사 전 과정을 철저히 관리하고 있어 보호자와 반려동물 모두에게 높은 신뢰와 만족을 제공하고 있다.
이안동물의학센터는 정형외과에서 무릎 질환은 MRI로 진단하기에 가장 까다로운 분야 중 하나라며, AI 기술을 통해 MRI의 화질이 개선됨에 따라 십자 인대 파열, 연골 손상, 활액막 질환, 힘줄 질환 등 다양한 무릎 질환을 보다 빠르고 정확하게 진단할 수 있게 됐다고 설명했다.
서울 강남구 청담동에 위치한 이안동물의학센터는 1000건 이상의 AI 기반 MRI 촬영 경험을 바탕으로 반려동물 영상의학의 수준을 한층 끌어올리고 있다. 앞으로도 최첨단 기술을 적극 활용해 반려동물 의료 서비스의 새로운 기준을 제시해 나갈 계획이다.
이안동물의학센터 소개
이안동물의학센터는 2005년 국내 최초 동물영상의학 분야에 설립된 전문병원으로, 지금까지 가장 많은 환자의 MRI와 CT 영상 검사를 진행하고 있다. 동물영상의학 분야에 집중하기 위해 다양한 분과 전문가가 모여 가치관 경영과 시스템 체계화를 통해 최고의 성과를 내고 있다. 이안은 병원 설립 이후부터 쌓아온 국내 최대의 임상 데이터를 기반으로 고품질의 영상을 촬영하며, 전문 판독의가 정확한 판독을 한다. 또한 안전한 검사를 위해 국내 최초 동물병원 마취팀을 운영하며 마취통증의학과 석박사가 포함된 마취팀이 축적된 진료 노하우를 바탕으로 환자를 담당한다. 아울러 2023년부터 인공지능(AI) 기술을 도입해 영상의 화질과 해상도를 향상시켜 진단의 정확성을 높였으며, 신속한 촬영을 통해 마취로 인한 위험도 감소시켰다.
김의준 기자 pmzine@naver.com
'뉴스' 카테고리의 다른 글
| 녹십자수의약품, 대규모 산불 피해 반려동물에 긴급 의약품 후원 (0) | 2025.04.03 |
|---|---|
| 녹십자수의약품, 태국에서 ‘GCVP Night’ 성황리 개최… 글로벌 비전 공개하며 IPO 행보 본격화 (0) | 2025.04.02 |
| 녹십자수의약품, 반려동물 치은염 치료제 ‘인터베리-알파’ 출시… 반려동물 구강 건강의 새로운 전환점 (0) | 2025.02.06 |
| 농정원, 반려동물 예절 및 제도 트렌드 분석 결과 발표 (0) | 2024.12.04 |
| 하림펫푸드∙이마트 몰리스, 폭설 속에서도 강아지 사료 기부와 봉사활동 진행 (0) | 2024.11.29 |
댓글